Ziua Mondială a Pneumoniei este celebrată anual în data de 12 noiembrie, scopul acestui eveniment fiind de încurajare a factorilor implicați în eforturile de a reduce povara globală a pneumoniei, o boală prevenibilă, dar care poate fi fatală.
Tema pentru Ziua Mondială a Pneumoniei din 2024 este „Să câștigăm lupta împotriva pneumoniei”.Categoriile cele mai vulnerabile în fața pneumoniei sunt copiii mici (cu vârsta sub 5 ani), vârstnicii, precum și persoanele cu sistem imunitar slăbit sau cu boli cronice, acestea fiind cele mai expuse riscului.Vaccinurile, o igienă adecvată, ce implică spălarea frecventă a mâinilor, aerul curat și evitarea zonelor aglomerate, precum și o dietă sănătoasă pot ajuta la prevenirea pneumoniei.

„Încurajăm populația să se prezinte la medic pentru diagnosticarea precoce a pneumoniei și instituirea la timp a tratamentului. Consider că îndeosebi categoriile cele mai expuse riscului – persoanele în vârstă, copiii mici și bolnavii cronici – trebuie să fie conștientizați în permanență despre pericolul pneumoniei, pentru a recunoaște această boală încă de la primele simptome. Semnele de alarmă în evoluția unei pneumonii sunt: febra persistentă, peste 3 zile, astenia intensă, expectorația cu striuri de sânge, scăderea tensiunii arteriale sau creșterea ei (când era controlată prin medicație), impun prezentarea de urgență la medic, astfel încât să poată fi prevenită apariția complicațiilor și evoluția nefavorabilă. Așadar, educarea și informarea publicului pot contribui la salvarea vieții semenilor noștri vulnerabili în fața pneumoniei”, susține dr. Danciu Lavinia, Director Medical Spitalul de Pneumoftiziologie Sibiu.

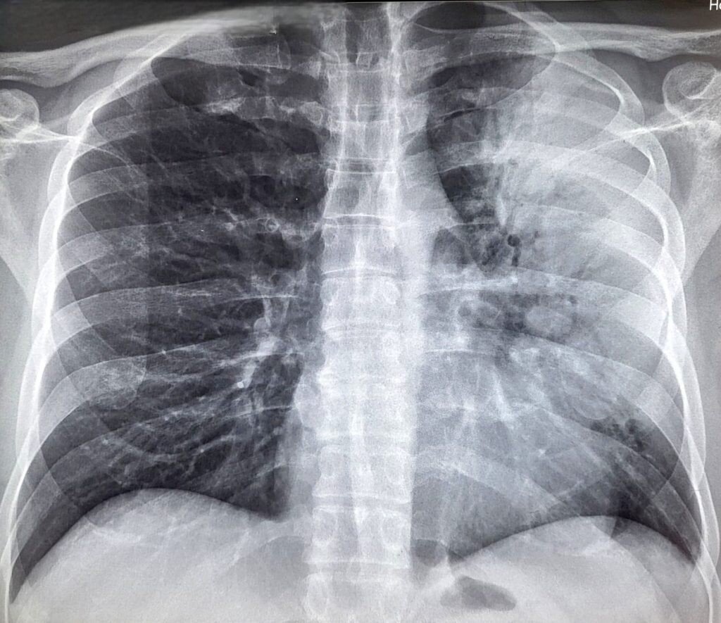
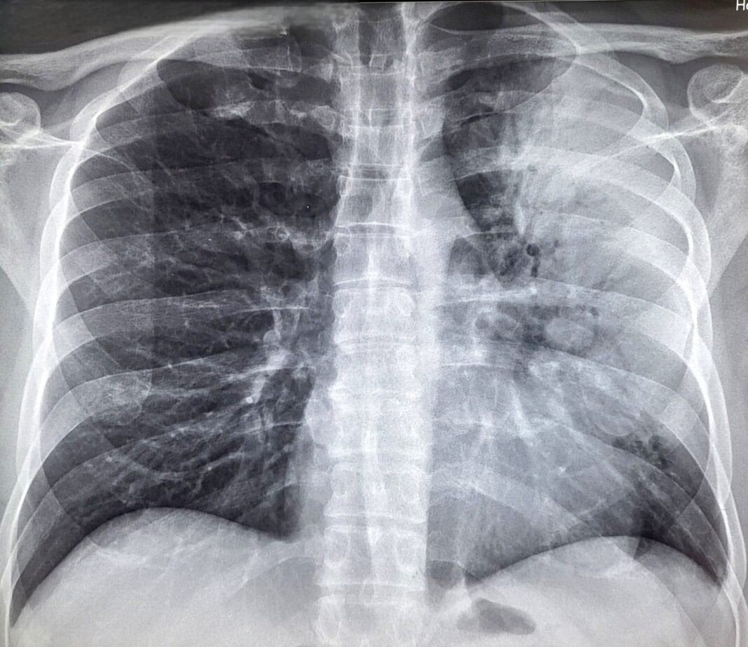
Pneumonia este o boală respiratorie acută care afectează plămânii și care este produsă de agențiinfecțioși. Gripa, virusul sincițial respirator și bacteriile pneumococice sunt cauze frecvente ale pneumoniei, care este determinată în general de microorganisme precum bacterii, viruși și fungi. Simptomele cele maifrecvente ale pneumoniei sunt: febră, frisoane, tuse cu producere de spută, dureri toracice, transpirațieexcesivă, dificultatea în respiraţie (dispnee), starea de oboseală și scăderea poftei de mâncare.
Pneumonia este boala infecțioasă care ucide ceimai mulți copii. Anual, la nivel mondial se înregistrează peste 500.000 de decese la copii cu vârstasub 5 ani, dintre care aproape 150.000 sunt nou născuți.
„Prevenția acestei afecțiuni se realizează prinmai multe măsuri : izolarea cazurilor diagnosticate șitratamentul adecvat al acestora, pentru limitareaextinderii infecției în populație (fiind o boalăcontagioasă, ce se transmite prin respirație, tuse, strănut), vaccinarea cu vaccinurile cuprinse înschema națională de vaccinare ( ex. DTP, ROR, antipneumococic etc.), dar și cu vaccinuri opționale(vaccin antigripal, vaccin pentru virusul sincițialrespirator în cazul prematurilor etc. ). Alte metodeadjuvante în prevenție sunt reprezentate de măsurilecare au ca rezultat creșterea imunității (alăptareasugarului cel puțin până la 6 luni, alimentațiacorespunzătoare bogată în fructe și legume, respectarea orarului de somn). Un rol important înprevenție îl are, de asemenea, tratamentul corect al bolilor pulmonare cronice, precum tratamentulastmului”, declară dr. Iulia Simina, medic specialist pneumolog și medic specialist pediatru.

În cadrul Spitalului de Pneumoftiziologie Sibiu, numărul pacienților internați cu diagnosticulPneumonie, de la începutului anului și până în prezenta fost de 2480 de persoane, cifră ce reprezintăaproximativ 75% din totalul internărilor în spitalizarecontinuă. În plus, în aceeași perioadă, în regimspitalizare de zi au fost internate alte 1173 de persoane. De asemenea, în ambulatoriul de specialitate al spitalului au fost consultați 1855 de pacienți suferindde pneumonie.





