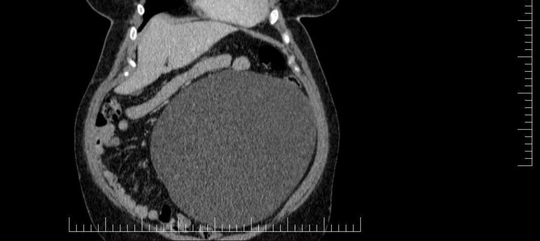
Un chist ovarian voluminos, de 4,5 kg, descoperit la o pacientă, în urma unui consult ginecologic și a unor investigații în cadrul Laboratorului radiologie și imagistică medicală al Spitalului Militar de Urgență ”Dr. Alexandru Augustin” din Sibiu, a fost operat cu succes de colegul nostru, Remus Maxim, medic primar obstetrică-ginecologie.
Existând suspiciunea de neoplasm, medicul din cadrul Compartimentului Ginecologie din Secția Chirurgie Generală a luat decizia de a extrage formațiunea chistică în întregime, operația fiind un succes.





