În cadrul Spitalului Clinic Judeţean de Urgenţă Sibiu, Secția Clinică Neurochirurgie, intervențiile neurochirurgicale de urgență au fost reluate. Medicii neurochirurgi au realizat azi o complexă intervenţie neurochirurgicală de extirpare a unei tumori cerebrale gigant de la un pacient non-Covid în vârstă de 60 de ani din județul Brașov, a cărui viață era pusă în pericol.
Intervenția chirurgicală a fost efectuată de o echipă condusă de Șef Lucrări Dr. Vicențiu Săceleanu, medicul șef al Secției Clinice Neurochirurgie a SCJU Sibiu, din care au mai făcut parte Dr. Vladimir Roșca, medic specialist neurochirurgie și Dr. Cosmin Cândea, medic rezident neurochirurgie.

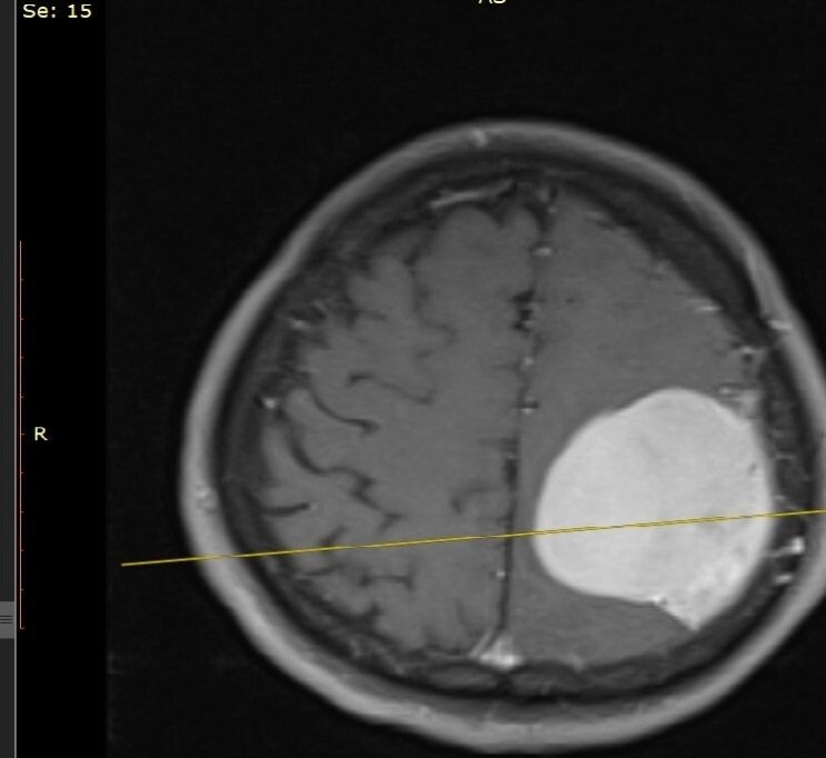
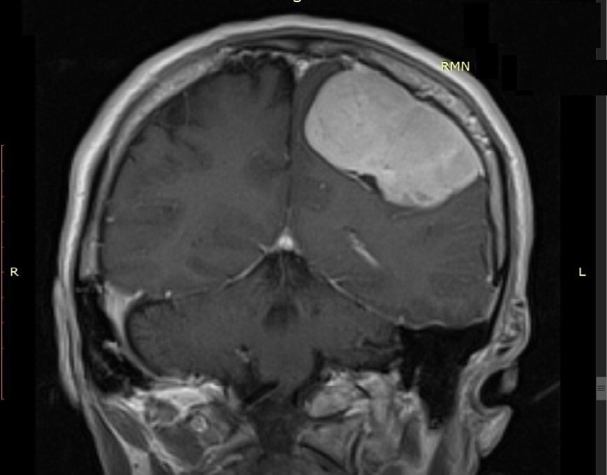
„Pacientul a fost internat ieri prin Unitatea de Primiri Urgențe, fiind diagnosticat cu o tumoră cerebrală gigantă care îi punea viața în pericol, prin comprimarea creierului. I s-au efectuat analize medicale, inclusiv testul pentru COVID-19. După studierea atentă a cazului am decis intervenția chirurgicală și am practicat rezecția completă a tumorii care a avut o mărime de 6/5 cm”, explică Șef Lucrări Dr. Vicențiu Săceleanu.

Intervenția chirurgicală, efectuată cu microscopul operator performant din dotarea secției, a durat aproximativ 4 ore. Operația a fost un succes și urmează ca pacientul să fie suspus unor controale post operatorii amănunțite.
“Ne exprimăm satisfacția că această operație a fost o reușită. Nu este pentru prima dată când extirpăm tumori de mari dimensiuni în secția de neurochirurgie, fapt care indică profesionalismul colectivului secției. Dar în primul rând ne bucurăm că putem din nou să servim interesele pacienților, în acest context complicat creat de noul tip de coronavirus”, adaugă Dr. Vicențiu Săceleanu.

În momentul de față pacientul este sub supraveghere post-operatorie de specialitate, este stabil si va intra într-un program de recuperare.
“Așa cum am promis, reintroducem treptat în circuit secțiile spitalului și facem totul pentru ca pacienții să poată beneficia de servicii medicale complete și complexe”, a precizat Conf.univ.dr. Liliana Coldea, managerul SCJU Sibiu.
Date suplimentare:
Secția Secţia Clinică Neurochirurgie a SCJU Sibiu este unul dintre cele mai moderne servicii ale cele mai mari instituții sanitare a județului, aceasta funcționând din ianuarie într-un spațiu complet nou și modern, care asigură condiții superioare de cazare și tratament. Totodată, în cadrul secției funcționează și un bloc chirurgical, de asemenea complet nou şi modern, la standarde europene, aceste investiții fiind realizate de către Consiliul Județean Sibiu.






Felicitari! Medici care merita respectul si recunoasterea sociala.
La date suplimentare,pentru corectitudine, precizati din ianuarie al carui an functioneaza sectia de neurochirurgie”intr-un spatiu complet nou si modern”